For all the happiness mankind can gain Is not in pleasure, but in rest from pain.
Dr Apte, is a first-generation doctor, with a genuine passion for orthopaedics and healthcare.
After completing his M.B.B.S from the prestigious J.J hospital Mumbai, he then proceeded to pursuing his M.S Orthopaedics from Nashik Medical college.
Arthroplasty, also called joint replacement, is surgery to replace a damaged joint...
Read details
Total knee replacement is one of the most successful procedures in all of medicine...
Read details
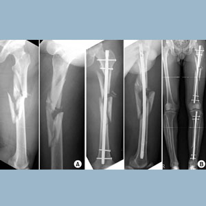
As advancements are made in the prevention of automobile fatalities, an increase...
Read details
Ilizarov frames provide a versatile fixation system for the management of bony defo...
Read details
Deformity correction refers to the process of treating and correcting structural...
Read details
Limb lengthening, also known as limb reconstruction or limb extension, is a surg...
Read details
Dr Aditya is one of the most trained and excellent orthopaedic surgeon of India , especially in joint replacement and reconstructive illizarv surgeries.

Excellent doctor with in depth knowledge of subject and practical surgical skills.proper truthful guidance is given by him.highly recommended

My relative was operated by Dr Aditya. Very skilled especially in limb deformities. Explains the procedure very nicely and in detail. Always available for advice.

Dr Aditya apte is very skilled and knowledgeable orthopedic doctor and specialist in joint replacement, deformity and ilizarov. He has done many foreign fellowships. Very hard working and patient friendly nature.

Very well trained in general and complex trauma , knee and hip replacement surgery and complex deformity correction with ilizarov techniques. Soft spoken and readily available for his patients.

Dr Aditya Apte Sir has excellent surgical skills. His diagnosis is on point, explains everything in great detail and is empathetic towards patients' anxiety. Highly recommended for hip/knee joint replacement and deformity correction.